试管婴儿不能正常受精是为什么?
2020-07-15
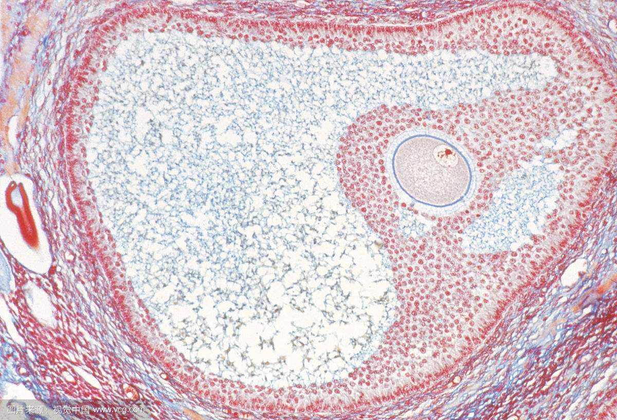
  试管婴儿不能正常受精是为什么?在试管婴儿的过程中,试管流程并非百分之百顺利,有时候也会出现各种各样的问题,其中通过促排卵取出的卵子虽然多,但是也不能保证就能完全都能受精成功,从而出现取卵数量多,但是受精数量少,甚至胚胎更少的情况。那么出现这些情况是因为什么呢?

俄罗斯试管婴儿
 
  第一:卵子本身因素
 
  试管婴儿受精卵不受精的一个原因就是卵子本身的因素,有可能是卵母细胞成熟度异常,卵子核与胞浆的共同成熟是卵子受精的必要条件,当胞浆和卵子核成熟不同步时,即使卵子的外观看起来正常,但是也很难受精成功。在精卵受精的过程中,也有可能出现单原核和三原核的情况,即使受精,也不能保证进一步进行卵裂发育。另外,也有可能会出现卵母细胞激活失败,一般情况下,卵子是处于“静止”的状态的,而精子是激活卵子的天然刺激因素,当精卵融合后,卵子会在精子的呼唤下产生一系列的变化,如卵内钙离子浓度升高、皮质颗粒反应、排出第二极体等。精子的激活是卵子产生后续反应的基础,如果最开始卵子都没有被激活,那么后续的受精过程自然不能完成。
 
  透明带缺陷,透明带是包裹在卵子外面的一层柔软透明组织,就像是卵子的一层保护膜,在精卵结合时,精子需要穿过透明带才能与卵子结合,但是如果透明带过厚或者是过硬,都会影响到精子的穿透,从而导致卵子无法受精成功。
 
  卵子的染色体有问题,取出的卵子是成熟的,但是没有显示原核特征形成或者精子原核的形成。如果卵子的染色体数量有缺陷并且没有完整的胚胎结构,就会发生这种情况,这导致卵子不能进一步发育。
 
  第二:精子因素导致
 
  试管婴儿不受精除了卵子的因素以外,还要考虑精子的问题,精子如果有染色体问题或者精子本身畸形,活力差,也会导致不受精,因为精子本身没有完整的胚胎构建,是无法形成受精卵的。
 
  精子畸形如头过大或者其他形态异常,本身就不利于穿透宫颈粘液所形成的微小通道。宫颈粘液中常可见到头特别小的精子,多数是因为无顶体存在。所以,对于一般精子畸形率高的男性朋友,应该要积极治疗,不要强行怀孕,否则会出现流产或者影响到孩子的健康。(查询阅读滔滔顾问《人工受精的注意事项》)
标签:试管婴儿;受精
相关阅读:
成功案例分享
  •  滔滔顾问|求子多年终于在俄罗斯抱得女儿归!

    滔滔顾问|求子多年终于在俄罗斯抱得女儿归!

  • 53岁失独母亲产下一女,只为让家庭重新“活过来

    53岁失独母亲产下一女,只为让家庭重新“活过来

  • 赶在猪年的尾巴,这对“猪宝宝”出生啦!

    赶在猪年的尾巴,这对“猪宝宝”出生啦!

  • 二婚结扎大龄,俄罗斯试管婴儿怀上宝宝

    二婚结扎大龄,俄罗斯试管婴儿怀上宝宝

  • 滔滔顾问|高龄+染色体异常选择俄罗斯试管婴儿生

    滔滔顾问|高龄+染色体异常选择俄罗斯试管婴儿生

  • 一路求子披荆斩棘,俄罗斯试管婴儿圆梦

    一路求子披荆斩棘,俄罗斯试管婴儿圆梦

  • 2次试管失败也不放弃,40岁做俄罗斯试管婴儿抱

    2次试管失败也不放弃,40岁做俄罗斯试管婴儿抱

  • 大龄做俄罗斯试管婴儿只为生个二胎女宝宝

    大龄做俄罗斯试管婴儿只为生个二胎女宝宝

  • 1次人授,移植2次均失败,最后俄罗斯试管婴儿成

    1次人授,移植2次均失败,最后俄罗斯试管婴儿成

  • 丈夫精子畸形率达99%,俄罗斯试管婴儿助力好孕

    丈夫精子畸形率达99%,俄罗斯试管婴儿助力好孕

  • 滔滔顾问:选择俄罗斯试管婴儿喜获龙凤胎

    滔滔顾问:选择俄罗斯试管婴儿喜获龙凤胎

  • 多囊卵巢做俄罗斯试管婴儿成功案例分享

    多囊卵巢做俄罗斯试管婴儿成功案例分享

  • 郭女士赴俄罗斯试管婴儿成功怀孕

    郭女士赴俄罗斯试管婴儿成功怀孕

  • 上海36岁胡女士喜得儿子赴俄罗斯试管婴儿

    上海36岁胡女士喜得儿子赴俄罗斯试管婴儿

  • 大龄叶女士分享赴俄试管婴儿感受

    大龄叶女士分享赴俄试管婴儿感受

  • 流产后还可以做俄罗斯试管婴儿吗?

    流产后还可以做俄罗斯试管婴儿吗?

  • 在国内做试管多次失败,借助俄罗斯试管婴儿好

    在国内做试管多次失败,借助俄罗斯试管婴儿好

  • 多囊卵巢做俄罗斯试管婴儿成功怀孕的案例

    多囊卵巢做俄罗斯试管婴儿成功怀孕的案例

  • 俄罗斯试管婴儿案例:幸福会迟到,但从不缺席

    俄罗斯试管婴儿案例:幸福会迟到,但从不缺席

  • 试管失败后再婚,俄罗斯试管婴儿助孕成功

    试管失败后再婚,俄罗斯试管婴儿助孕成功

  • G小姐选择俄罗斯试管辅助生殖圆生育梦

    G小姐选择俄罗斯试管辅助生殖圆生育梦

  • 别再犹豫,听听我们俄罗斯试管婴儿46岁刘姐的自

    别再犹豫,听听我们俄罗斯试管婴儿46岁刘姐的自

  • 这辈子,我们注定做一对特殊父母

    这辈子,我们注定做一对特殊父母

  • 28岁的人却拥有49岁的卵巢,俄罗斯试管婴儿圆生

    28岁的人却拥有49岁的卵巢,俄罗斯试管婴儿圆生

  • 一名”卵子成熟障碍“妈妈的俄罗斯试管心路历

    一名”卵子成熟障碍“妈妈的俄罗斯试管心路历

  • 湖南姚女士俄罗斯追生男宝

    湖南姚女士俄罗斯追生男宝

  • 国内两次试管失败,俄罗斯试管婴儿一次成功

    国内两次试管失败,俄罗斯试管婴儿一次成功

  • 大龄求子做俄罗斯试管带健康二胎来报道!

    大龄求子做俄罗斯试管带健康二胎来报道!

  • 国内试管婴儿多次求子失败,俄罗斯试管婴儿一

    国内试管婴儿多次求子失败,俄罗斯试管婴儿一

  • 输卵管堵塞致不孕,俄罗斯试管婴儿获龙凤胎

    输卵管堵塞致不孕,俄罗斯试管婴儿获龙凤胎

Copyright @2017-2020   深圳市滔滔咨询顾问有限公司   版权所有    网站维护:深圳市滔滔咨询顾问有限公司